
【全球首例】3D打印再救人一命,法國完成特製支氣管植入手術
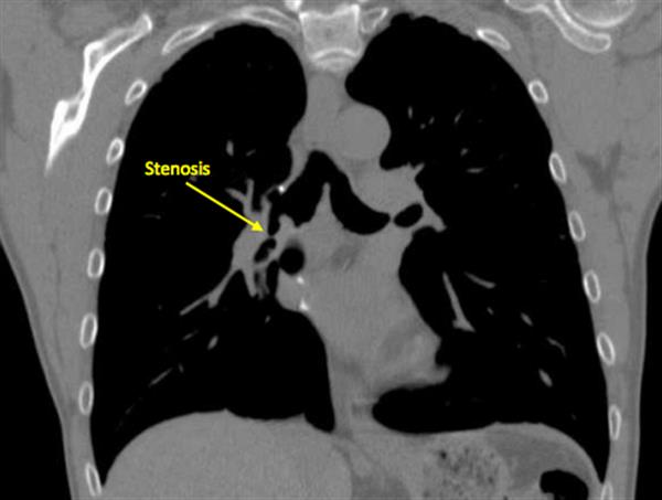
3D打印技術在醫療應用上的價值有目共睹。法國醫生近日利用3D打印技術打印模具,製作定制化支氣管,並完成支氣管植入手術,成為全球首例。
Photo from 3ders
這個定制的支氣管由法國圖盧茲CHU醫院與3D打印公司Anatomik Modeling聯手打造,他們透過用儀器掃描出病人支氣管的3D圖,3D打印出支氣管模具,並用模具製作出植入病人體內的矽膠定制支氣管。
Photo from 3ders
這個模具精確地顯示出患者的支氣管形狀,故製作出來的支氣管百分百適合植入病人體內,目前患者的恢復狀況良好。
Photo from 3ders
Anatomik Modeling表示,技術目前仍在試驗階段,希望未來一年能將其打造成商業產品,惠及更多同類型病患。
Source: 3ders




